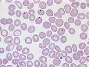
Howell Jolly Bodies
Howell jolly bodies in blood smear. They may be seen in a small percentage of red cells in pernicious anaemia.
Howell jolly bodies are nuclear remnants.

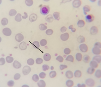
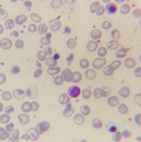
Howell jolly bodies. If a patient comes in with sepsis fever headache and myalgias meningitis is very likely. They are regularly present after splenectomy and when there is splenic atrophy fig. A howell jolly body is a cytopathological finding of basophilic nuclear remnants clusters of dna in circulating erythrocytes.
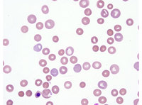
Howell jolly bodies in blood smear refers to the presence of dna fragments that can be seen in a blood smear test in certain conditions and disorders such as certain types of anemia. They are small round cytoplasmic inclusions that stain purple on a romanowsky stain. During maturation in the bone marrow late erythroblasts normally expel their nuclei.
Howell jolly bodies occur where there is no spleen or an non functioning spleen referred to as asplenia. But in some cases a small portion of dna remains. Howell jolly bodies spherical or ovoid eccentrically located granules occasionally observed in the stroma of circulating erythrocytes that occur most frequently after splenectomy or in megaloblastic or severe hemolytic anemia.
They are usually one of these at most in a red cell round dark purple to red in color and often located peripherally on the red blood cell. Howell jolly bodies are whole chromosomes or chromosome fragments left behind during the production and maturation of the erythrocyte.
Media Centre Sysmex Europe Gmbh
Howell Jolly Body Like Inclusions Correlated With Myelodysplastic
Howell Jolly Bodies From A Splenectomized Dog Eclinpath
Howell Jolly Bodies In A Thin Blood Smear Stained With Giemsa
Thalassemia Major Case With Howell Jolly Bodies And Increased Nrbc 2
Why Do You See Howell Jolly Bodies In Sickle Cell Anemia
Howell Jolly Body Ha Just Learned About This In Class
What S The Difference Between Howell Jolly Bodies And Heinz Bodies
Rbc Inclusions Hematology Flashcards Memorang
Sickle Cell Anemia And Howell Jolly Bodies Nuclear Remnants
Howell Jolly Bodies Nuclear Remnants In Rbc Splenic
Basophilic Stippling And Howell Jolly Bodies
Pappenheimer Bodies Vs Howell Jolly Bodies Differentiation
Mrcp Revision Notes Howell Jolly Bodies
What Is The Howell Jolly Body Stanford Medicine 25 Stanford
Thalassemia Major Case With Howell Jolly Bodies And Increased Nrbc 2
Prominent Howell Jolly Bodies When Megaloblastic Anemia Develops
Medical Laboratory And Biomedical Science Howell Jolly Bodies In
A Howell Jolly Body Marked By Arrow On Peripheral Blood Smear
Howell Jolly Bodies Cells And Smears
Peripheral Blood Smear Showing The Presence Of Howell Jolly Bodies
Image Result For Howell Jolly Bodies Image Body Body Image Stain
Horatiu Olteanu On Twitter Howell Jolly Body Like Inclusions In
Howell Jolly Bodies Cells And Smears
Https Encrypted Tbn0 Gstatic Com Images Q Tbn 3aand9gcruufhoazzr6v84u6eoxgwxg1w7j0zokhmndc07cw2mwt71hvof Usqp Cau
Finished My Christmas Card For The Year Shitpost Medicalschool
Uworld 2ck Test 050 All Correct Flashcards Memorang
Saw Some Beautiful Howell Jolly Bodies Today Medlabprofessionals
Howell Jolly Bodies Cells And Smears
Pathological Rbc Forms Heme Medbullets Step 2 3
Full Size Picture Howell Jolly Bodies Jpg





Posting Komentar
Posting Komentar