Large Granular Lymphocytic Leukemia
Large granular lymphocytic leukemia is an indolent peripheral t cell leukemia that involves bone marrow and peripheral blood often with associated splenomegaly. Large granular lymphocytic leukemia.
T Cell Large Granular Lymphocytic Leukemia Basicmedical Key
Lgl large granular lymphocyte leukemia is a rare cancer of white blood cells called lymphocytes.
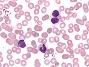
Large granular lymphocytic leukemia. Lgl leukemia is characterized by enlarged lymphocytes containing noticeable granules which can be seen when the blood is examined under. The actual cause of lgll is not completely understood but recent studies have shown that the stat3 signal transducer and activator. Large granular lymphocytic leukaemia lgll is characterised by an excessive production of certain white blood cells large granular t cell or natural killer nk lymphocytes which infiltrate the bone marrow spleen and liver.
Each type may be slow growing and fast growing. T cell large granular lymphocytic t lgl leukemia represents 2 3 of all mature lymphocytic leukemias and is defined by the current world health organization who classification as a persistent 6 months clonal expansion of peripheral blood t lgl cells usually between 2 and 20 10 9 l without a clearly identified cause. Large granular lymphocytic lgl leukemia is a type of chronic leukemia affecting white blood cells called lymphocytes lymphocytes are part of the body s immune system and help fight certain infections.
Large granular lymphocytic leukemia lgll is a rare cancer of one type of white blood cells with less than 1000 new cases reported in the united states each year. Large granular lymphocytic lgl leukemia is a chronic lymphoproliferative disorder that exhibits an unexplained chronic 6 months elevation in large granular lymphocytes lgls in the peripheral blood. Large granular lymphocyte lgl leukemia is a rare cancer of white blood cells called lymphocytes which originate in the lymph system and bone marrow and help fight infection.
In people with the disease the lymphocytes are enlarged and contain granules which can be seen when the blood is examined under the microscope. These white blood cells known. Lymphocytes originate in the lymph system and bone marrow they are functioned as fighting infection.
There exist two types of lgl leukemia. This disease usually affects people in their sixties. The median age at presentation is 55 to 60 years and men and women are equally affected.
T cell lgl leukemia t lgll and natural killer nk cell lgl leukemia nk lgll. T cell large granular lymphocytic leukemia t lgll is a heterogeneous disorder affecting equally men and women and characterized by expansion of the monoclonal population of large granular lymphocytes in peripheral blood since proteins such as tia1 granzyme b and granzyme m are usually expressed immunohistochemical analysis of bone marrow biopsies with antibodies to these. It is divided in two main categories.
T cell large granular lymphocyte leukemia is a rare cancer of a type of white blood cells called lymphocytes t cell large granular lymphocyte leukemia causes a slow increase in white blood cells called t lymphocytes or t cells which originate in the lymph system and bone marrow and help to fight infection. T cell t lgl and natural killer cell nk lgl.
Cd20dim Positive T Cell Large Granular Lymphocytic Leukemia In A
T Cell Large Granular Lymphocytic Leukemia Peripheral Bloo Flickr
T Cell Large Granular Lymphocytic Leukemia Peripheral Bloo Flickr
Histopathology Images Of Large Granular Lymphocytic Lgl Leukemia
T Cell Large Granular Lymphocytic Leukaemia Cell Atlas Of
Large Granular Lymphocyte Leukemia An Overview Sciencedirect
Pathology Outlines T Cell Large Granular Lymphocytic Leukemia
Large Granular Lymphocytic Leukaemia Tidsskrift For Den Norske
Large Granular Lymphocyte Leukemia Springerlink
What Is Large Granular Lymphocytic Leukemia Lgll
Large Granular Lymphocyte Leukemia 1
Mgg Staining Of A Large Granular Lymphocyte In Peripheral Blood
T Cell Large Granular Lymphocytic Leukaemia Cell Atlas Of
This Is A Patient With T Cell Large Granular Lymphocytic Leukemia
T Cell Large Granular Leukemia Lgl Flow Cytometry
T Cell Large Granular Lymphocytic Leukemia Basicmedical Key
T Cell Large Granular Lymphocytic Leukemia Peripheral Bloo Flickr
2016 Evening Specialty Conference Hematopathology
Concomitant Acute Myeloid Leukemia And Large Granular Lymphocytic
Large Granular Lymphocyte Leukemia 2
Large Granular Lymphocytic Leukaemia
T Cell Large Granular Leukemia
Lymphocytosis T Cell Large Granular Lymphocyte Leukemia
Http Www Haematologica Org Content Haematol 104 3 E117 Full Pdf
Histopathology Images Of Large Granular Lymphocytic Lgl Leukemia
Chronic Leukemia Of Granular Lymphocytes In A Dog Eclinpath
Figure 2 From Resolution Of Organizing Pneumonia Following
Histopathology Images Of Large Granular Lymphocytic Lgl Leukemia
What Is Large Granular Lymphocytic Leukemia Lgll
Juvenile Myelomonocytic Leukemia
Pathology Outlines T Cell Large Granular Lymphocytic Leukemia
Unusual Immunophenotype Of T Cell Large Granular Lymphocytic
When A Bruise Is More Than A Bruise Consult Qd
Large Granular Lymphocyte Leukemia Clinical And Pathogenic
Large Granular Lymphocytic Leukemia Ask Hematologist
Distinguishing T Cell Large Granular Lymphocytic Leukemia From
Donor Derived T Cell Large Granular Lymphocyte Leukemia After Cord
Large Granular Lymphocytic Leukemia Leukemia And Lymphoma Society

Posting Komentar
Posting Komentar